617 Mill Street, Worcester, MA 01602
508-756-0358
Home
About
Meet The Doctors
Meet The Team
Testimonials
Blog
Office Tour
FAQs
General
Dental Fillings
Dental Sealants
Emergency Dentistry
Dental Exams & Cleanings
Fluoride Treatments
General Dentistry
Inlays and Onlays
Oral Cancer Screenings
Preventive Dentistry
Sleep Apnea Treatment
Periodontal Treatment
Night Guards
Cosmetic
Cosmetic Dentistry
Dental Bonding
Dental Bridges
Dental Crowns
Dental Implants
Smile Makeover
Teeth Whitening
Dental Veneers
Dentures
Smile Gallery
Patients
New Patient Packet
Insurance and Financing
Promotions
COVID-19
Technology
3D Scanners
Intraoral Camera
Pano-Xrays
Contact Us
Book Appointment
Smile Gallery
Replacing old defective crowns and bridges
Implant-Supported Overdenture
Crowns
Crowns
Upper and lower complete denture
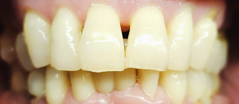
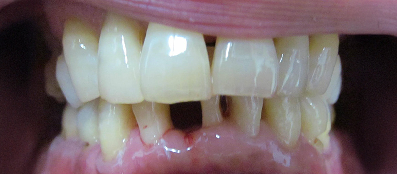
Crown and bridge
Bridge
Composite restoration/bonding
Crown and bridge
Implant and crowns
Crowns
Composite restoration/bonding
Close
Font Resize
A-
A+
Reset font size
Keyboard navigation
Readable Font
Contrast
Choose color
White
Black
Underline links
Highlight Links
Clear cookies
Images Greyscale
Invert Colors
Close
Accessibility by WAH
Home
About
Meet The Doctors
Meet The Team
Testimonials
Blog
Office Tour
FAQs
General
Dental Fillings
Dental Sealants
Emergency Dentistry
Dental Exams & Cleanings
Fluoride Treatments
General Dentistry
Inlays and Onlays
Oral Cancer Screenings
Preventive Dentistry
Sleep Apnea Treatment
Periodontal Treatment
Night Guards
Cosmetic
Cosmetic Dentistry
Dental Bonding
Dental Bridges
Dental Crowns
Dental Implants
Smile Makeover
Teeth Whitening
Dental Veneers
Dentures
Smile Gallery
Patients
New Patient Packet
Insurance and Financing
Promotions
COVID-19
Technology
3D Scanners
Intraoral Camera
Pano-Xrays
Contact Us
Click to listen highlighted text!