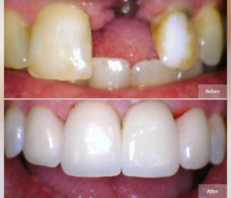
Cosmetic Dentistry in Worcester, MA
When there are certain aspects of your smile that you are not happy with, you can seek treatment to address those issues to get the smile you’ve always wanted. There are several treatments available in a dental specialty called cosmetic dentistry to change the appearance of the smile. You can find cosmetic dentistry in Worcester, MA, at Tatnuck Family Dental Care.
What can cosmetic dentistry treat?
Procedures in cosmetic dentistry can treat teeth that are:
- Stained/discolored
- Chipped
- Worn
- Fractured
- Misaligned, crooked or gapped
Cosmetic dentistry in Worcester, MA, can also restore teeth that have been lost.
What procedures are available in cosmetic dentistry?
Teeth whitening: treats discolored and/or stained teeth to produce a whiter, brighter smile. Your dentist in Worcester, MA can either perform a treatment in-office or provide you with a take-home kit that is more effective than over-the-counter whitening treatments.
Dental veneers: are thin shells made out of either porcelain or composite resin to be fitted onto the front of the teeth. Dental Veneers, can be placed to change the appearance of teeth that are chipped, discolored, fractured, worn, or crooked. They can also be used to cover gaps in between teeth.
Dental crowns: cover the entire tooth when placed. Like dental veneers, they can be used to cover broken, chipped, or gapped teeth, but can also cover poorly-shaped teeth or teeth that have had large fillings.
Dental bonding: unlike veneers and crowns, which require a portion of the tooth to be removed before the restoration can be fixed to it, dental bonding is a procedure in which a material is adhered, or bonded to a tooth to treat stains, breaks, or chips.
Tooth restoration: options include dentures, bridges, and dental implants. Dentures and bridges are dental prosthetics that are either fixed or removable and replace the tooth itself to restore looks and function. Dental implants are placed directly into the jawbone to replace the tooth root. Once the implant has fused with the bone, the dental restoration is then fixed on top.
What treatment is right for me?
To determine what type of cosmetic dentistry in Worcester, MA, is right for you to help you achieve a smile you’ll love, you’ll need to have a consultation with our dentist at Tatnuck Family Dental Care. You can discuss your goals and figure out the best way to achieve them.







